Services
Our office provides a full range of services including:
Dental PPO insurance accepted
Cosmetics & Esthetic solutions
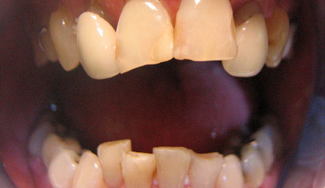
Before

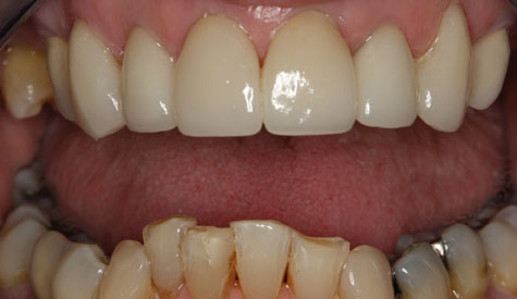
After

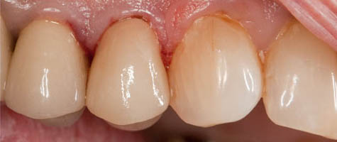
Crowns & Bridges
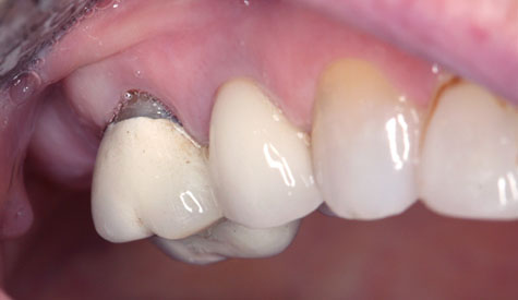
Before

After

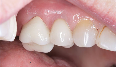
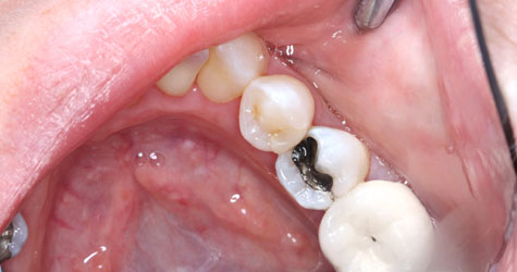
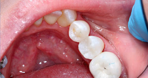
Before

After

Before

After

Implant Restorations
Metal-free Filings
Before

After

Oral Hygiene & Preventive
Before

After
